Introduction

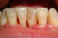
Swelling of the gums is also common in some patients. Like, bleeding gums, bad breath, and pain while eating, swollen gums, red gums and recessed gums. If severe pyorrhea persists, pockets will begin to form between the tooth and gum, allowing plaque to build. These pockets can cut into the jaw bone and lead to considerable bone loss. As the disease proceeds, the gums recede from the teeth, loosening of the teeth occurs, and the bone supporting the teeth is resorbed. Pus is discharged from pockets in the gums, which are formed as the jawbone recedes from the roots of the teeth. Pyorrhea, known medically as pyorrhea alveolaris, is most common in persons over 40.
Yoga and Pyorrhea
It is now a widely recognized fact that tooth decay is really a disease of the modern civilization. Modern diet and an overemphasis on refined foods, cereals, processed or synthetic foods lead to a condition of spongy and receding gums. Various gum diseases such as pyorrhea and gingivitis are also a direct consequence of our modern living habits. Yoga has passed down the time-tested and proven knowledge of increasing and prolonging the beauty of your physical self, by prescribing a way of healthy life. Yoga shows us how we can stay healthy thus maintaining and enhancing our beauty. The word "yoga" means "union" and the unifying aspect of all forms of yoga are yoga meditation. While all religions encourage some form of meditation, it may be surprising to learn that science also encourages it as a way to manage stress and dental problems. Yoga is a complete exercise regimen and a way of life that vitalizes your life forces and gives you fitness and vitality. Yoga can be practiced at home, office or even while driving or traveling. It cures you of so many ailments and prevents you from many more, without any side effects.YOGA POSES FOR PYORRHEA
Fish Pose
The fish pose is the natural successor of the shoulder stand and it is recommended that you practice it as a counter pose to the stand. The pose implies a compression of the spine and neck as opposed to the stretch obtained while in the shoulder stand or Bridge and Plough poses.Shoulder Stand Pose
Relax your body and mind, stretch your hamstrings, shoulders, and spine, relieve stress, and improve your posture and concentration by practicing the Seated Forward BendSeated Forward Bend Pose
Paschimottanasana (Seated Forward Bend) is a foundation Yoga pose that greatly helps you go within yourself, in a manner that restores both your body and mind. The literal translation of the term Paschimottanasana is "intense stretch of the west." In ancient times yogis were known to bow down to the rising sun in the east. Thus by doing this, intense west stretch they aligned themselves on an east-west axis. How deep physically you go into the pose is not half as important as how much you are able to surrender while doing itWheel Pose
It strengthens the arms, shoulders and upper back as well and stimulates the cardiovascular system. The chakrasana has an overall tonic effect for the entire body. The 'Wheel Pose' has derived its name, because of the peculiar shape the body takes, while performing the asana or pose.Cobra Pose
Cobra Pose is a heart-opening back bend. The pose challenges the shoulders, the chest, and lengthens the spine. The basic movement of the cobra is to arch the spine backward.YOGA ASANAS FOR PYORRHEA
MATSYASANA
Matsya in Sanskrit means fish. One immediately identifies this asana with the figurative relevance like any other hatha asanas. But here the asana is suggestive of the quality of floating like a fish - a state that's induced by assuming this posture.MatsyasanaTraditional texts state that Matsyasana is the "destroyer of all diseases." This asana is therapeutically helpful in constipation, respiratory faculties, fatigue and anxiety.It's also good for preventing mildly recurring backaches before they go worse.
Steps
- Assume padmasana If it is difficult, assume a comparable posture (Swasthikasana or Sukhasana).
- Bend backwards and touch the ground with the back of your head while not changing the position of your legs.
- Use hands to give support to body so that your body doesn't fall flat. While you lay backwards while keeping the legs as in padmasana, your body assumes the same of a fish, with the legs forming the tailfins. The back, shoulders, neck, most part of head and parts below knee will not touch the ground.
- Now extend your hands and grasp your big toes. Right hand grasps left big toe, which is on the left side of the body.
- Breathe slowly while in Matsyasana pose.
- Take hands backwards and place them on the ground as a support. Slowly raise your head and come to Padmasana pose
SARVANGASANA

Steps
- Exhale and while inhaling, contract the abdomen and slowly raise both the legs to a 90 degree angle from the floor.
- Exhaling raise the waist and the hips from the floor and take the legs backwards over the head.
- Inhaling raise the back and the legs up into a vertical position, placing the hands on the upper back for support. The chin should rest against the chest, creating the chin lock. Fix the eyesight on the toes and maintaining the asana, continue normal breathing.
- One should concentrate on getting the legs; waist and the back in one straight line and making this line 90 degrees with the ground. In this asana the arms up to the elbows are placed on the floor, shoulder width apart.
ARDHAMATSYENDRASANA

Steps
- In this posture twist the waist laterally.
- Exhale and twist the waist in this posture.
- Inhale after you return to normal sitting position.
- Symmetry should always be maintained.
- If you twist your body six times to the left, you should also twist your body six times to the right.
PASCHIMOTTANASANA

Steps
- This posture involves stretching of the posterior muscles of the body.
- While sitting, stretch your legs forward and keep them close to each other. Bend a little forward, make hooks of your fingers and hold the big toes on the respective sides.
- While exhaling, bend forward stretching the trunk along the thighs. Rest your on the knees, which should be kept straight.
- Gradually, the tense muscles can be made supple for securing the complete posture. Inhale and return to the original position
SIDDHASANA

Steps
- Sitting on the floor, stretch the legs straight in front. The spine should be kept erect and continue normal breathing.
- Fold the left leg at the knee and bring it to the front. Gently stretch the toes and ankle so that they appear to be in straight line. In case, one finds it difficult, try to stretch the toes as much as is easily possible. The left knee should touch the floor.
- Next fold the right leg at the knee and placing the right foot in such as way that it rests on the left foot.
- Gently stretch the ankle and toes of the right leg so that it appears to be in a straight line.
- The Spine should be kept straight and the palms should be placed on the knees facing upwards. Alternatively, the palms can be placed on respective knees forming a circle with forefinger and the thumb and rest of the fingers kept straight. Continue normal breathing.
- Try to stay in this position for a minute. While returning to normal position, loosen the fingers of hands first, then unlock the right leg by using hands and place it on the floor and repeat the same for left leg and stretch out the legs.
- Rest for a few seconds before repeating this process again by switching the legs with right foot underneath the left foot.
Diseases Related to Taurus |
||
